Our main interest is to bring your teeth back to their original look and feel and give you back that confident smile and functionality! We make use of the best porcelain material and technology currently available when restoring teeth to their original transparency and integrity. We offer the following services:
- Tooth coloured fillings
- Bridges
- Crowns
- Dentures and Partial Dentures
- Extractions
Fillings

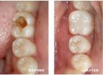
While crowns may become necessary in the case of serious tooth decay, fillings will restore teeth with smaller amounts of damage. One difference between a crown vs filling is that in a crown, no material is removed as the crown sits over your existing tooth.
With a filling, the decayed tooth material is removed, the tooth is cleaned, and finally, it is filled. The filling can be made of composite resin that looks like natural teeth, amalgam, porcelain, or gold.
While fillings are most commonly used to treat cavities, more serious cavities may require crowns.
Silver/White fillings?

We are a completely Mercury/Amalgam-Free practice and are using white fillings exclusively. Composite(white fillings) bio-mimics tooth structure i.e. it behaves very similarly to the tooth structure that it is replacing.
There are a few reasons why amalgam fillings end up making teeth snap, fracture & decay; eventually making the tooth fail and why white composite resin fillings are a much better, more biomimetic (life like) alternative, but the main reason is temperature sensitivity……
Around 50% of dental amalgam is made up of mercury. Mercury is very reactive to temperature changes, hence the reason it is used in thermometers! It expands with heat and contracts with cold causing it to rise or fall in the thermometer. When you have a hot drink, the mercury in your dental filling heats up & expands, making the filling bigger, which puts a lot of pressure and strain on the surrounding tooth structure causing it to eventually crack/fracture or snap off.
When you have something cold to eat or drink, your silver filling contracts leaving a gap around it. White bonded composite resin fillings have a similar expansion and contraction rate as natural tooth. White fillings are also bonded or “glued” into the tooth cavity which means there are no gaps around the edges.

We therefore do recommend replacing mercury fillings with composite fillings, however if the tooth is already weakened by cracks or decay sometimes the optimal option to strengthen & hold the tooth together for the longer term & at the same time improving its appearance is a dental crown (porcelain or metal). This acts like a crash helmet for the tooth, holding everything together.
Dental Crowns
A dental crown is a type of restoration that covers your entire tooth. A crown is made of metal, porcelain or a mix of the two. A mould of your tooth is made precisely to fit over the damaged tooth.
Dental crowns are often used on patients when their cavity is too large, a part of their tooth is fractured or their tooth is at risk of fracturing. A crown may also cover a discoloured tooth or a dental implant. Generally, molars can be brittle and sensitive after a root canal, so a crown might be the best option to protect your teeth.
A crown is completed in two or three dental visits. Your dentist will take the time and provide the necessary attention to ensure that your tooth looks natural.
Dental Bridges

Where a dental crown is used to protect an existing tooth, a dental bridge is a device used to replace a missing one. A bridge uses neighbouring teeth to support a false tooth between them. Like a dental crown, your neighbouring teeth are shaped to receive the dental bridge. A mould is taken of your teeth, and a bridge is made. Then, it’s glued into place with a special type of dental cement.
If your tooth has been extracted, a bridge might be suggested to improve the space that’s left. Dental bridges can give you positive cosmetic results by restoring your smile. However, a bridge can also help you chew your food and speak more clearly. Without a bridge, your teeth might shift around. A bridge can stop the rest of your teeth around the missing tooth from repositioning themselves.
Dentures
A denture is a removable appliance that replaces missing teeth and surrounding tissue. In the past dentures usually fit poorly. They were bulky and often painful. Today’s technology has brought remarkable improvement. Innovations in dentistry combined with modern light-weight materials mean current dentures are not only comfortable they closely resemble natural teeth.
Here are the 3 main types of dentures;
1) Complete or full dentures are for those patients who have lost all of their teeth on either or both of the arches. These take some time to get used to as their adjustment depends on a number of factors like the oral cavity muscles, saliva, bone & tongue.
2) Removable or partial dentures are used to correct gaps when only few of the teeth are missing. These dentures are fastened to the natural teeth using metal attachments. Partial dentures help in maintaining tooth alignment by preventing the other natural teeth from shifting out of position.. There are different kinds of removable dentures - Acrylic, cast metal and valplast to name a few.
3) Immediate dentures as the name suggests are placed at once, right after the patient gets his tooth extraction done. Adjustments are done once the healing process has completed.
The super structure of dentures are made out of several materials-
Valplast

Valplast® is a flexible denture base resin which is ideal for partial dentures and unilateral restorations. The resin is a biocompatible nylon thermoplastic with unique physical and aesthetic properties. Valplast® allows your patient’s natural tissue tone to appear through the material.
These dentures are very robust & are not prone to breaking. Because this fantastic material is flexible the gum colored ”wings” hook around adjacent teeth holding the denture in the “gap” snuggly & more securely than alternative denture materials such as acrylic. Valplast® dentures can be realigned & also adjacent teeth can be added to an existing denture should this be required.
Acrylic

This pink plastic denture base is brittle. It is used to make standard full dentures & partial dentures. The largest single advantage to this type of denture (aside from its comparatively low cost) is that new teeth and new denture base can easily be added to an existing acrylic denture.
These are frequently fabricated even if the remaining teeth have existing decay or periodontal disease and their prognosis is doubtful. If later in the course of treatment existing natural teeth are extracted for any reason, new false teeth can be added quickly to the partial, maintaining the patient’s appearance. In spite of the fact that they are considered a temporary solution, many people keep this type of appliance for many, many years, because as long as they are properly maintained, they look outwardly as good.
Chrome cobalt or titanium with either valplast or acrylic

The underlying, mostly hidden, metal base increases the strength of the denture. These two types of metal can also be made very thin, making the joins from one side of the mouth to the other a lot less bulky.