

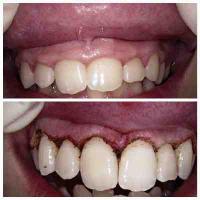
Laser Gum Contouring / Gummy Smile Correction
Laser Gum Contouring Procedure
In the past, patients who were troubled with "gummy" smiles could have the prominence of their gums reduced with a scalpel, which could cause bleeding and an uncomfortable recovery. Now, with the advent of laser dentistry technology, and tools such as the diode laser, patients can have their gums sculpted to perfectly accent their smiles in a fast, simple, and virtually painless procedure.
To begin the laser gum recontouring process, your mouth is numbed with a local anesthetic to eliminate any discomfort. We will then use a diode laser to gently cut away excess gum tissue and sculpt a more uniform, scalloped gum line. Diode lasers cauterize while they cut, which means less bleeding and a dramatically reduced chance of infection for patients. The entire gum lifting procedure can be completed in just one brief visit to our office.
Laser Gum Contouring Recovery
After your gum lifting procedure, you may experience sore or swollen gums for up to a week. The discomfort should be minimal, however, and will not interfere with daily activities such as speaking, eating, or drinking. However, you should consume soft and avoid foods that are spicy or have seeds for a few days after surgery. Your dentist will recommend a pain reliever such as ibuprofen to help manage any discomfort you may feel. When brushing and flossing your teeth, be sure to be as gentle as possible.
Wisdom Teeth Removal
For further instructions to follow after surgery, please click here.
Wisdom teeth removal is done at the surgery if possible, however if it is in your best interest, we will refer you to an oral surgeon for removal under sedation. Bone grafting and augmenting that precedes implant placement are also done under the same conditions.
Surgical removal of roots, chelating procedures, cist removal and infection drainage is also often done in the surgery.
What are wisdom teeth?
Wisdom teeth are the teeth at the back of your mouth (the third molar teeth). They tend to come through (erupt) in the late teens or twenties. Some wisdom teeth do not come through fully (partly erupt) and get stuck (or impacted). This often leaves a flap of gum over the tooth (see figure 1). Others grow too long (over erupt).
A wisdom tooth may need to be removed for several reasons such as tooth decay, repeated or severe infection, to make space to move other teeth or to prevent damage to the cheek or gum.
When/why should wisdom teeth be removed?
Surgical removal can be required for several reasons. Often, wisdom teeth get stuck ('impacted') against the adjacent tooth or within the jawbone and are not able to come through fully into the mouth.
A partially exposed wisdom tooth can be difficult to keep clean. This can then cause chronic infection and discomfort in the surrounding gum tissue. Such infections may require treatment with antibiotics.
A wisdom tooth can also become decayed or cause decay in neighbouring teeth. Your dentist may not be able to treat this decay until the wisdom tooth has been removed.
Decay Example
- Extensive decay affecting upper and lower impacted wisdom tooth
- Impaction of lower wisdom tooth leading to development of decay in the lower second molar
- Extensive decay affecting impacted lower wisdom tooth
Impacted Wisdom Teeth

Impacted wisdom teeth can also adversely affect the attachment of adjacent teeth or be associated with cystic lesions.
- Horizontally impacted wisdom tooth adversely affecting attachment of second molar
- Extensive cystic development around impacted lower wisdom tooth
Wisdom teeth should only be removed if they are causing problems. We will discuss this with you during your appointment.
Are there any alternatives to surgery?
Simple painkillers can help control mild pain.
Antibiotics and rinsing with hot, salty water or chlorhexidine mouthwash, can help when the area around the wisdom tooth is infected. These measures give only temporary relief of symptoms and do not treat the underlying cause.
Removing the gum lying over the tooth (operculectomy) may be possible in certain cases if a wisdom tooth has partly erupted.
What does the operation involve?
Most upper wisdom teeth can be removed easily under a local anaesthetic. Lower wisdom teeth can be more difficult to remove. The operation usually takes between ten minutes and an hour.
Sometimes a general anaesthetic is needed. Removing a wisdom tooth can involve cutting the gum to uncover the tooth, removing bone around the tooth and dividing the tooth with a drill. For further instructions to follow after surgery, please click here.
What complications can happen?
- Pain
- Bleeding
- Swelling and bruising
- Infection
- Dry socket
- Retained roots
- Damage to nearby teeth
- Sinus problems
- Broken jaw
- Not being able to open the mouth fully (trismus) and jaw stiffness
- Damage to nerves
- Bisphosphonate-associated osteonecrosis of the jaw
How soon will I recover?
You will be able to go home after the procedure.
Depending on the difficulty of the operation and the likelihood of infection, you may be prescribed antibiotics.
You should not do any strenuous activities for the first 48 hours to reduce the risk of bleeding, swelling and bruising. You may need to take up to a week off work.
Regular exercise should help you to return to normal activities as soon as possible. Before you start exercising, you should ask a member of the healthcare team or your GP for advice. Most people make a full recovery.
You should be able to go home the same day.
Summary
Wisdom teeth can sometimes cause serious problems. Removing a wisdom tooth is usually a safe and effective way to prevent symptoms coming back.
Acknowledgements
Author: Mr Paul Lyons B.Ch.D. and Mr Andrew Sidebottom FDSRCS FRCS

