Greville Dental currently has one of the most advanced and biggest field CBCT scanners in NZ, allowing us to investigate bigger than normal fields, at lower than usual x-ray exposure.
What is Dental Cone Beam CT?

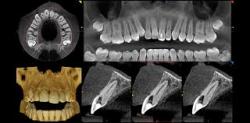
Dental cone beam computed tomography (CT) is a special type of x-ray machine used in situations where regular dental or facial x-rays are not sufficient. It is not used routinely because the radiation exposure from this scanner is significantly more than regular dental x-rays. See the Safety page for more information about x-rays. This type of CT scanner uses a special type of technology to generate three dimensional (3-D) images of dental structures, soft tissues, nerve paths and bone in the craniofacial region in a single scan. Images obtained with cone beam CT allow for more precise treatment planning.
Cone beam CT is not the same as conventional CT. However, dental cone beam CT can be used to produce images that are similar to those produced by conventional CT imaging.
With cone beam CT, an x-ray beam in the shape of a cone is moved around the patient to produce a large number of images, also called views. CT scans and cone beam CT both produce high-quality images.
Dental cone beam CT was developed as a means of producing similar types of images but with a much smaller and less expensive machine that could be placed in an outpatient office.
Cone beam CT provides detailed images of the bone and is performed to evaluate diseases of the jaw, dentition, bony structures of the face, nasal cavity and sinuses. It does not provide the full diagnostic information available with conventional CT, particularly in evaluation of soft tissue structures such as muscles, lymph nodes, glands and nerves. However, cone beam CT has the advantage of lower radiation exposure compared to conventional CT. 
What are some common uses of the procedure?
Dental cone beam CT is commonly used for treatment planning of orthodontic issues. It is also useful for more complex cases that involve:
- surgical planning for impacted teeth.
- diagnosing temporomandibular joint disorder (TMJ).
- accurate placement of dental implants.
- evaluation of the jaw, sinuses, nerve canals and nasal cavity.
- detecting, measuring and treating jaw tumors.
- determining bone structure and tooth orientation.
- locating the origin of pain or pathology.
- cephalometric analysis.
- reconstructive surgery.
How should I prepare?
A cone beam CT examination requires no special preparation.
Prior to the examination, you may be asked to remove anything that may interfere with the imaging, including metal objects, such as jewelry, eyeglasses, hairpins and hearing aids. Although removable dental work may need to be removed, it is advisable to bring these to your examination, as your dentist or oral surgeon may need to examine these as well.
Women should always inform their dentist or oral surgeon if there is any possibility that they are pregnant.
What does the equipment look like? 
Cone beam CT scanners are square-shaped machines that include either an upright chair for sitting or
a moveable chair, so patients can stand or sit down during the examination. Scanners that include a chair have a rotating C-arm, an x-ray image intensifier that contains an x-ray source and detector.
How does the procedure work?
During a cone beam CT examination, the C-arm or gantry rotates around the head in a complete 360-degree rotation while capturing multiple images from different angles that are reconstructed to create a single 3-D image.
The x-ray source and detector are mounted on opposite sides of the revolving C-arm or gantry and rotate in unison. In a single rotation, the detector can generate anywhere between 150 to 200 high resolution two-dimensional (2-D) images, which are then digitally combined to form a 3-D image that can provide your dentist or oral surgeon with valuable information about your oral and craniofacial health.
How is the procedure performed?
You will be asked to sit in the exam chair or lie down on the exam table, depending on the type of cone beam CT scanner being used. Your dentist or oral surgeon will position you so that the area of interest is centered in the beam. You will be asked to remain very still while the x-ray source and detector revolve around you for a 360-degree rotation or less. This typically can take between 20 to 40 seconds for a complete volume, also called a full mouth x-ray, in which the entire mouth and dental structures are imaged, and less than 10 seconds for a regional scan that focuses on a specific area of the maxilla or mandible.
What will I experience during and after the procedure?
You will not experience any pain during a cone beam CT exam, and you will be able to return to your normal activities once the exam is complete.
Who interprets the results and how do I get them?
Your dentist, oral surgeon or radiologist will analyze the images. They may discuss the results with you directly or communicate the results to your referring physician or dentist.
What are the benefits vs. risks?
Benefits
- The focused x-ray beam reduces scatter radiation, resulting in better image quality.
- A single scan produces a wide variety of views and angles that can be manipulated to provide a more complete evaluation.
- Cone beam CT scans provide more information that conventional dental x-ray, allowing for more precise treatment planning.
- CT scanning is painless, noninvasive and accurate.
- A major advantage of CT is its ability to image bone and soft tissue at the same time.
- No radiation remains in a patient's body after a CT examination.
- X-rays used in CT scans should have no immediate side effects.
Risks
- There is always a slight chance of cancer from excessive exposure to radiation. However, the benefit of an accurate diagnosis far outweighs the risk.
- Because children are more sensitive to radiation, they should have a CT exam only if it is essential for making a diagnosis and should not have repeated CT exams unless absolutely necessary. CT scans in children should always be done with low-dose technique.

