治療とサービス
ホワイトニング
歯の表面のエナメル層には、時間の経過とともに色素が沈着していきます。 ホワイトニング処置により、歯のエナメル層や歯茎を傷つけることなく歯に付着した汚れを除去し、白く輝く歯を取り戻すことができます。
美容歯科
美容歯科・審美歯科による治療は、見た目の印象を向上するうえで費用対効果の高い方法です。健康的な明るい笑顔はとても魅力的です。自信をもってにこやかな表情で過ごせるようになれば、生活全般も満たされたものになるでしょう。

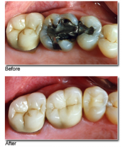
修復歯科
歯の本来の姿に修復し、機能性を取り戻すだけでなく、自信をもって笑顔になれるようにします。 詰め物は白いもののみを採用し、水銀は全く使っておりません。
ラミネートベニア
陶材か樹脂でできた薄い板を歯の表面に貼り付け、色と形をきれいにする治療法です。通常は歯の前面と上部のみを覆います。
インプラント
義歯を入れている方の日常を一変する新しい方法です。不安定な入れ歯の動きや話すときの音を気にすることなく快適に過ごせるようになります。若々しく、より健やかで幸せな暮らしを楽しむために、一歩踏み出してみましょう。インプラントは1本のみでも対応できます。

青少年歯科
定期的な検診とクリーニング、衛生処置を徹底して、お子様の輝くような笑顔を守りましょう。当院では Year 9から満18才までのお子様を無料で診察しております。Year 8までのお子様には、コミュニティの歯科診療所(ノースクロス・インターメディエイト・デンタル・クリニック、094794236)が無料でご利用いただけます。お子様のための無料デンタルケアについては、こちらのリンク先をご覧ください。 www.letstalkteeth.co.nz
当院のティーン向け無料デンタルケアでは以下のサービスを提供しています。
年次検診
レントゲン撮影
歯石除去、研磨によるクリーニング
詰め物
シーラント(溝埋め)
フッ素トリートメント
抜歯(歯列矯正を目的としないもの)
救急診察
歯周治療・口腔衛生
歯肉炎や歯周病は口腔内の細菌の繁殖に起因します。適切な処置をせず放置すると、最終的には歯の周りの組織が破壊され、大切な歯を失うことになりかねません。
矯正歯科
ご来院の方一人ひとりのニーズに合った最適な方法で治療計画を立てています。利用しやすいよう手頃な価格を設定し、矯正に関する無料相談も承っております。
口腔外科
可能な範囲で親知らずの除去手術を行っています。麻酔医と口腔外科医の連携による手術をご希望の場合は専門医をご紹介します。
小児歯科衛生士(オタゴ大学にて学士号取得, Bachelor of Oral Health)
エケトネーテカナワ 一葉(かずは)

日本で歯科助手としてキャリアをスタートさせ、2003年以降オーストラリアとニュージーランドで経験を積みました。国立オタゴ大学にて歯科衛生学とデンタル・セラピーを専攻し、2009年に卒業。以後、彼女の専門知識とスキルはたくさん の患者さんのケアに活かされています。 歯科衛生士としてだけでなく、セラピストの資格も有するので、クリーニングやルートプレーニングなどの衛生処置一般はもちろん、18才未満の子どもを対象とする小児歯科でも活躍しています。 丁寧かつフレンドリーな対応で、歯科治療の苦手な方でも安心してケアをお任せいただけます。
上田美穂
院長専属歯科助手
コリンは1992年にプレトリア大学を卒業し、2008年にニュージーランドに移住しました。イギリスで長年経験を積むかたわら、南アフリカ、イギリス、ポルトガル(クリニカ・マロ)、ドイツ(ギーセンハーゲン博士のもとに常駐)と各地で卒後研修を重ね、インプラント手術や歯周疾患治療など多数の専門分野に精通しています。
Leave a Reply
Your email address will not be published. Required fields are marked *

